Eye implant restores vision to patients with incurable sight loss
A tiny wireless implant inserted under the retina can restore central vision to patients with sight loss due to age-related macular degeneration (AMD). In an international clinical trial, the PRIMA (photovoltaic retina implant microarray) system restored the ability to read in 27 of 32 participants followed up after a year.
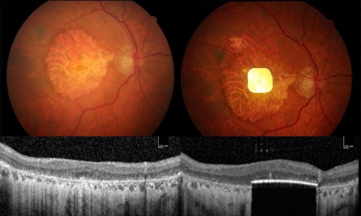
AMD is the most common cause of incurable blindness in older adults. In its advanced stage, known as geographic atrophy, AMD can cause progressive, irreversible death of light-sensitive photoreceptors in the centre of the retina. This loss of photoreceptors means that light is not transduced into electrical signals, causing profound vision loss.
The PRIMA system works by replacing these lost photoreceptors. The two-part system includes the implant itself: a 2 x 2 mm array of 378 photovoltaic pixels, plus PRIMA glasses containing a video camera that captures images and, after processing, projects them onto the implant using near-infrared light. The pixels in the implant convert this light into electrical pulses, restoring the flow of visual information to the brain. Patients can use the glasses to focus and zoom the image that they see.
The clinical study, led by Frank Holz of the University of Bonn in Germany, enrolled 38 participants at 17 hospital sites in five European countries. All participants had geographic atrophy due to AMD in both eyes, as well as loss of central sight in the study eye over a region larger than the implant (more than 2.4 mm in diameter), leaving only limited peripheral vision.
Around one month after surgical insertion of the 30 μm-thick PRIMA array into one eye, the patients began using the glasses. All underwent training to learn to interpret the visual signals from the implant, with their vision improving over months of training.

After one year, 27 of the 32 patients who completed the trial could read letters and words (with some able to read pages in a book) and 26 demonstrated clinically meaningful improvement in visual acuity (the ability to read at least two extra lines on a standard eye chart). On average, participants could read an extra five lines, with one person able to read an additional 12 lines.
Nineteen of the participants experienced side-effects from the surgical procedure, with 95% of adverse events resolving within two months. Importantly, their peripheral vision was not impacted by PRIMA implantation. The researchers note that the infrared light used by the implant is not visible to remaining photoreceptors outside the affected region, allowing patients to combine their natural peripheral vision with the prosthetic central vision.
“Before receiving the implant, it was like having two black discs in my eyes, with the outside distorted,” Sheila Irvine, a trial patient treated at Moorfields Eye Hospital in the UK, says in a press statement. “I was an avid bookworm, and I wanted that back. There was no pain during the operation, but you’re still aware of what’s happening. It’s a new way of looking through your eyes, and it was dead exciting when I began seeing a letter. It’s not simple, learning to read again, but the more hours I put in, the more I pick up. It’s made a big difference.”
The PRIMA system – originally designed by Daniel Palanker at Stanford University – is being developed and manufactured by Science Corporation. Based on these latest results, reported in the New England Journal of Medicine, the company has applied for clinical use authorization in Europe and the United States.
The post Eye implant restores vision to patients with incurable sight loss appeared first on Physics World.